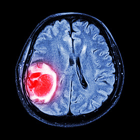
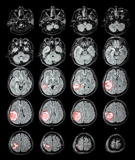
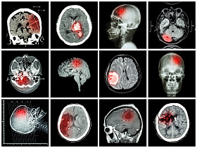
脑(脑卒中、脑肿瘤、脑梗死、脑内出血)(医疗、保健、科学背景)(脑交叉部分)的膜MRi(磁共振成像) )

脑(脑卒中、脑肿瘤、脑梗死、脑内出血)(医疗、保健、科学背景)(脑交叉部分)的膜MRi(磁共振成像) )

图片基本信息

图片ID:39496
图片大小:6.99MB
图片尺寸:5140 x 3427 像素
颜色模式:RGB
文件格式:JPG
推荐软件:PS,AI
用途:科学技术
构图:横图
版权说明:如需购买商用授权,请购买企业VIP
授权对象:企业,个人

图司机为设计师提供高清脑(脑卒中、脑肿瘤、脑梗死、脑内出血)(医疗、保健、科学背景)(脑交叉部分)的膜MRi(磁共振成像) )图片版权下载,图片为科学技术,大小为6.99MB,尺寸为5140 x 3427px,更多关于红色,蓝色,リボンとユーロ,人类,头,保健服务,病症,黑色,猫,眼睛,博士,医院,病人,疾病,癌症,雷,体系,疼痛,头骨,生病,头痛,诊断,描边,解剖,大腦,x 光,成像,手术,创伤,事故,损伤,扫描,神经元,紧张,X 射线,颅骨,脑,神经病学,肿瘤,炎症,磁共振成像,小脑,大脑,ct,神经外科,神经功能,中风后偏瘫,卫生保健,脑肿瘤,心脑血管,脑梗死商用高清版权图片,快来图司机免费下载吧。

首页 下载