 
            图片基本信息
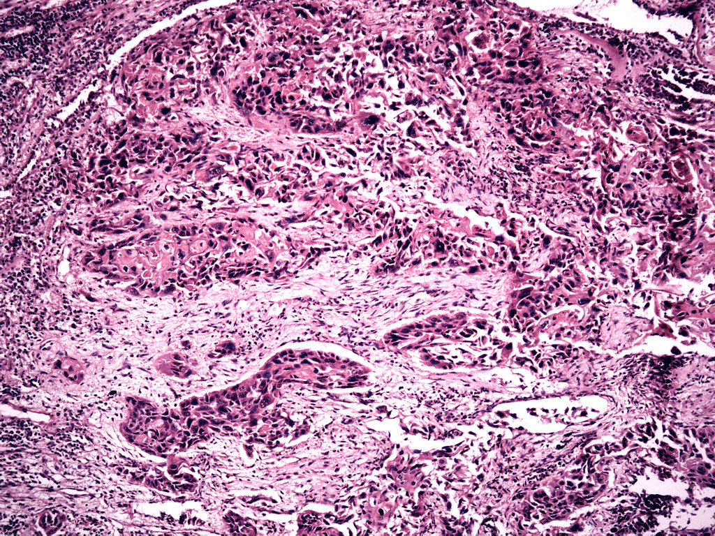
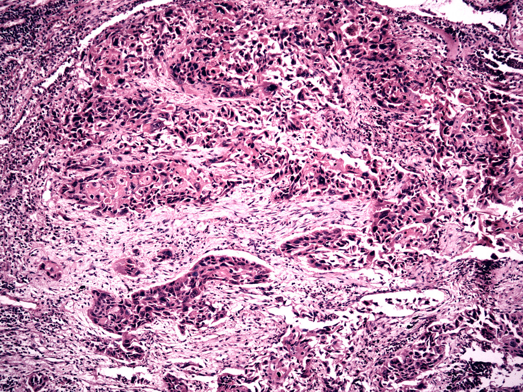
图司机为设计师提供高清一个人的中央型肺图片版权下载,图片为教育培训,大小为6.96MB,尺寸为2592 x 1944px,更多关于红色κόκκινο Ζωολογία,背景,宏,人类,性质,微,健康,医学,医疗保健,医疗,照片,紫色,真正,临床,单元格,病人,治疗,教育,化验室,科学,全景图,吸烟,癌症,肺癌,死亡,下,防辐射,疼痛,缩放,研究,放大倍数,幻灯片,的,解剖,中央,显微镜,生理学,微生物学,作为,镜,肿瘤,形态,病理,见过,显微照片,穿刺活检,病理学家,组织学,癌,鳞状上皮,100 x,eosin曙红,苏木精,表皮样,histologie商用高清版权图片,快来图司机免费下载吧。
 
                    下载张数
今日剩余:0
本次消耗:1
开始下载